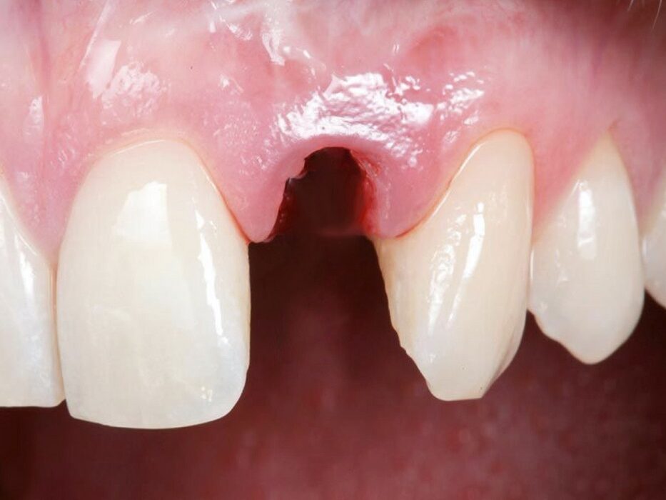
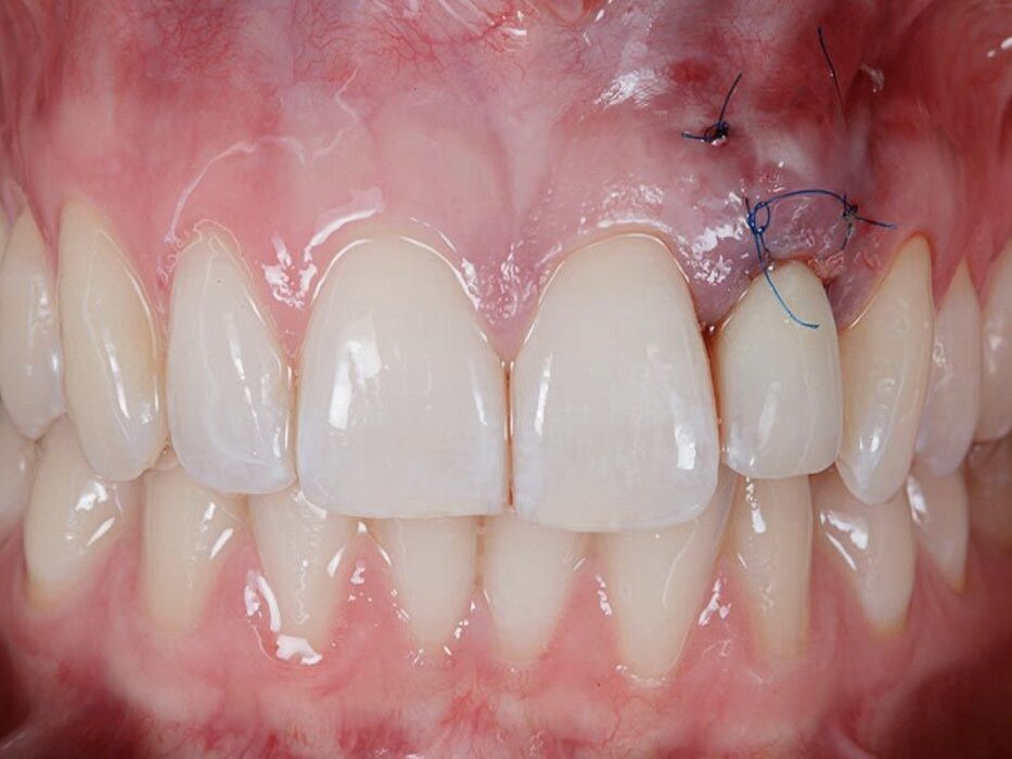
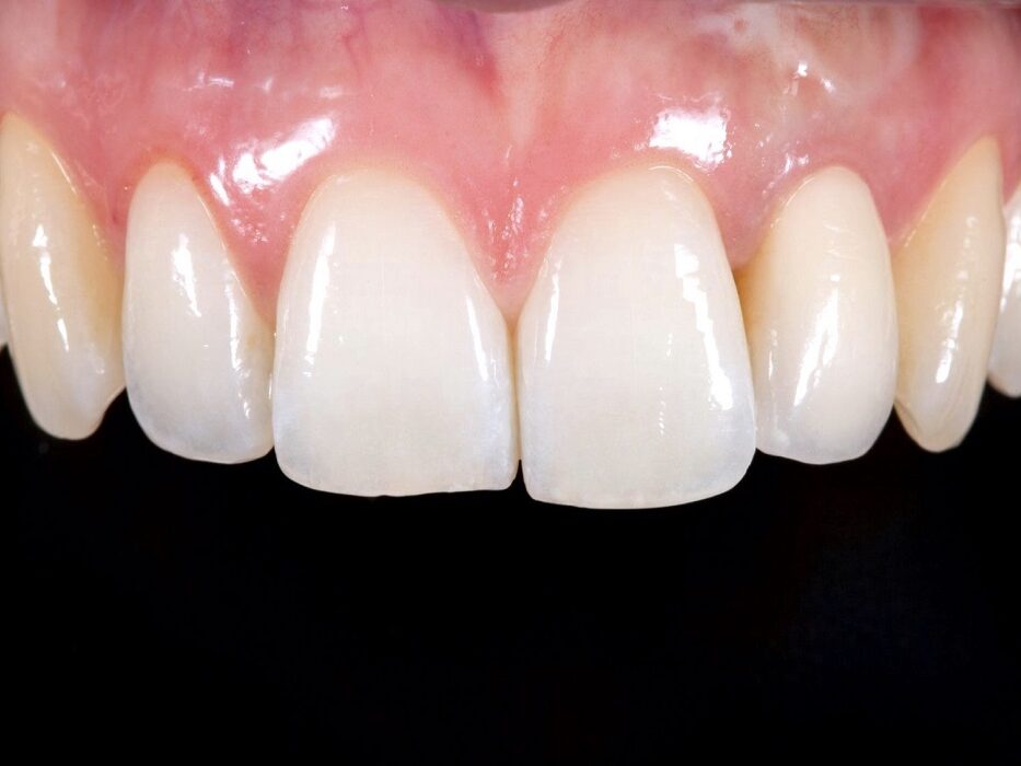
Moderna tehnologija omogućuje nam precizno kirurško planiranje, te individualizirani odabir i dizajna dentalnog implantata. U najzahtjevnijim slučajevima smjer, dubinu i angulaciju implantata kontroliramo uz individualno izrađene kirurške šablone za navođenu implantologiju (eng. guided surgery). Implantologija je stomatološka disciplina koja se bavi ugradnjom dentalnih implantata u kost čeljusti kako bi se nadomjestio korijen izgubljenog zuba. Pruža rješenja za sve oblike bezubosti (od pomanjkanja jednog do nedostatka svih zubi), te predstavlja idealno rješenje za osobe koje ne žele dirati susjedne zube u svrhu izrade dentalnih mostova ili osobe koje su nezadovoljne klasičnom zubnom protezom.
U slučajevima nedostatka kosti možemo posebnim kirurškim zahvatima rekonstruirati izgubljenu kost tehnikama vođene koštane regeneracije (eng. guided bone regeneration) kako bi nedostajući zub mogli nadomjestiti implantatom. U našem centru koristimo isključivo Nobel Biocare implantološki sustav koji je ujedno i najkvalitetniji implantološki sustav na svjetskom tržištu. Uz implantologiju obavljamo i druge oralno-kirurške zahvate poput alveotomije (kirurško vađenje umnjaka), apikotomije (kirurško odstranjenje vrška korijena zuba) i cistektomije (odstranjenje cista u čeljusti).










